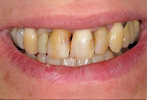
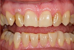
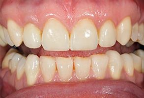
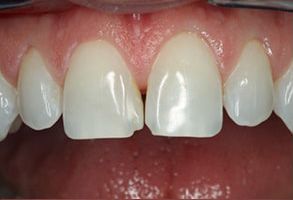
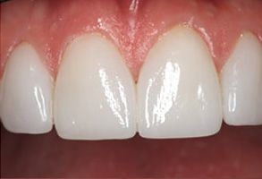
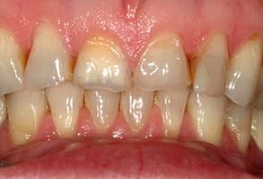
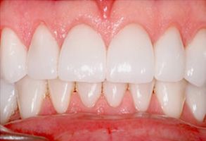
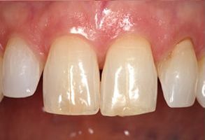
Advanced Dentistry Stunning Smiles
At The Center for Advanced Dental Care, PLLC, we're passionate about building lasting smiles through comprehensive and technologically advanced dental care. Our personalized, patient-focused approach prioritizes the health, beauty, and function of your teeth. View our smile gallery below and schedule your appointment today to begin your journey.

















